В 2023 году у 1,5 тысячи кузбассовцев обнаружен туберкулёз

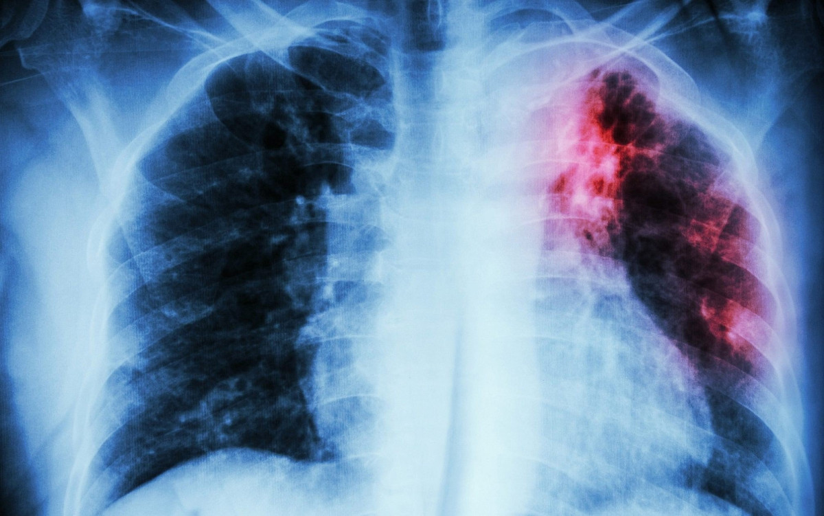
За 2023 год туберкулезом в Кузбассе заболели почти 1,5 тысяч человек По данным Роспотребнадзора, за 11 месяцев прошлого года с поставленным диагнозом «туберкулёз» в медучреждения региона попали 1428 человек.

За 2023 год туберкулезом в Кузбассе заболели почти 1,5 тысяч человек По данным Роспотребнадзора, за 11 месяцев прошлого года с поставленным диагнозом «туберкулёз» в медучреждения региона попали 1428 человек.

В основном опасным вирусом заболевали взрослые люди. Зафиксированы и случаи, когда инфекцией заразились дети до 14 лет. Их оказалось 43. Почти 25% попали в больницу в возрасте с 15 до 17 лет (статистика составлялась исходя из заболевших, у которых обнаружили поражение легких впервые).

Что касается территорий, где было выявлено больше всего заболевших с начала 2023 года - лидером по заболеваемости стал Кемерово, где зафиксировали 318 случаев. На вторую строчку попал Новокузнецк с 245 заболевшими. Закрыл тройку антилидеров Прокопьевск, где выявили 96 случаев заражения.

Последние новости

Противодействие экстремизму

Уважаемые заявители! Центр по противодействию экстремизму ГУ МВД России по Кемеровской области - Кузбассу информирует об ответственности, предусмотренной за совершение экстремистских преступлений и правонарушений,

УФНС России по Кемеровской области - Кузбассу приглашает на вебинар для представителей бизнеса

Это архивная публикация - она может содержать устаревшую информацию.

О государственной регистрации некоммерческих организаций за период с 31 марта по 04 апреля 2025 года

Управлением Министерства юстиции Российской Федерации по Кемеровской области - Кузбассу за период с 31 марта по 04 апреля приняты решения:

Когда скидки превращаются в ловушку: как маркетологи учат нас тратить

Почему “-50% только сегодня” не всегда значит выгоду, как скидки играют на эмоциях и почему даже рациональные люди становятся жертвами маркетинговых трюков.

На этом сайте вы сможете узнать актуальные данные о погоде в Ступино, включая прогнозы на ближайшие дни и часы

Комментарии (0)

Добавить комментарий

Ваш email не публикуется. Обязательные поля отмечены *